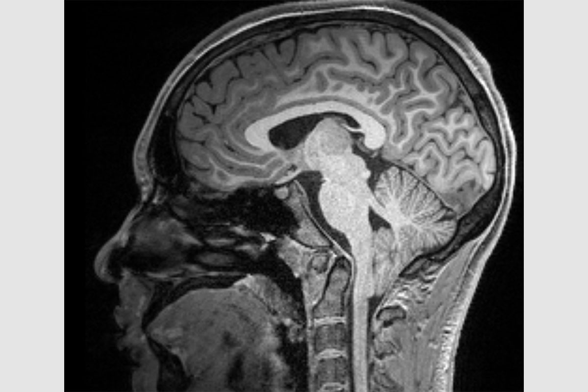
AI Unlocks New Paths for Treating Chiari Type-1 Malformation

Chiari type-1 malformation affects roughly 4% of the population and is characterized by the cerebellum protruding through a gap in the skull. The condition's unpredictable symptoms have made standardized treatment elusive. Researchers at Washington University in St. Louis have used artificial intelligence to identify three sub-types of Chiari type-1, providing a basis for more tailored treatment approaches. **Cluster 1** patients, often female, tend to experience chronic headaches; **Cluster 2** patients, diagnosed early, face issues like muscle control; while **Cluster 3** frequently involves spinal deformities requiring surgery. Utilizing data from the extensive Park-Reeves Syringomyelia Research Consortium, AI tools sifted through complex datasets to define these clusters, paving the way for evidence-based treatment guidelines. This collaboration across neurosurgery and computer science promises to transform the field by leveraging vast electronic health records for innovative patient care solutions.